コロナワクチンは、胎児の細胞を使う。共食の可能性。だからヤコブ病が3人も出た?( ̄▽ ̄;)
すでにワクチンで起こることが医学雑誌で報告されている
tak19731019さんからコメントを頂きました。
大変鋭い指摘だと思います。
ヤコブ病になるのは、同族食いをしてるからです。人間が人間の子供を食べてるからです。正確にはワクチンの中に胎児の細胞が入っており、これにより接種した人にヤコブ病を発症するのです。カルトになるかも知れませんが、これは絶対法則であり、発症した人は助かりません。
06月08日 10:45
潜伏の期間は40年と言うケースもありますが、この指摘は化膿性としては充分にあると思います。ワクチンに含まれる胎児の細胞からのプリオンの生成を調査する必要性がありますね。
第71回
プリオン病出現の背景
霊長類フォーラム:人獣共通感染症第(71回) 1/24/99
サイアス(旧。科学朝日)の今年の新年号に「人類絶滅への7つのシナリオ」とい うショッキングなタイトルの特集が掲載され、その中に私の書いたプリオン病が入っ ています。プリオン病がタイトルのような絶滅につながるとは考えていませんが、出 現の背景には考えさせられる側面が多々あります。サイアス編集部の了解が得られま したので、本講座に転載します。
プリオン病の主なものとして羊のスクレイピー、人のクロイツフェルト・ヤコブ病 (CJD)とクールー、牛の狂牛病(正式には牛海綿状脳症:BSE)がある。スクレイピ ーは18世紀から存在が知られており、CJDは1920年代、クールーは1950年 代にそれぞれ見いだされ、BSEは1986年にはじめて報告されたものである。いず れも脳に海綿のような空胞が多数でき、確実に死にいたる神経難病である。
これらの病原体は現在では感染性の蛋白であるプリオンと考えられ、プリオン病と 総称される。プリオンは細胞の遺伝子が作る蛋白で、ウイルスや細菌のように外から 侵入するものではない。もともと自分の身体に存在する正常なプリオン蛋白が異常な 立体構造になると病原体となって病気を起こすと考えられている。ウイルスや細菌と 異なり、完全に不活化させることはきわめて困難である。多量のプリオンが存在する ときは検出する方法があるが、微量のプリオンの検出はいまだに不可能である。した がって医薬品や食品などの製品についてプリオン汚染を検出する手段はまだ開発され ていない。
プリオン病の発生状況を振り返ると、人のさまざまな活動や文化と深いかかわり合 いがある。その観点からプリオン病を眺めてみることにしたい。
原始社会での儀式的共食い:クールーの出現
ニューギニアはポルトガル人により16世紀に発見され、エデンの園とか熱帯のパ ラダイスと呼ばれた。一方で暗い秘密を秘めた島ともみなされており、とくにパプア ニューギニアの東部高地はオーストラリアの統治がおよばず、現代文明とかけはなれ ていた。第2次大戦後、オーストラリア政府の医療出張所が設立された際に石器時代 さながらの生活を営んでいたフォア族に奇妙な病気が発見された。現地語で震えを意 味するクールーという病気で、患者の多くは若い女性で震えなどの症状から麻痺が起 こり半年前後で皆死亡した。
クールーの最初の患者は1920年代に出現したと推測されている。おそらくCJD の患者で、それが食人の儀式で広がった。食人は同じ部族内の風習で、通常は親族と くに両親が死亡した際に敬意と感謝の意を示すために行われた。クールーの死者が食 人の対象になったのは若い人たちであって、その死が非常に悲しまれたためらしい。 発生が広がり始めた時期については住民の記憶は正確で、太平洋戦争で飛行機が衝突 して住民の部落に落ちてきたときといわれている。広がりのはげしさは、その後の聞 き取り調査で一部が明らかになった。たとえば1948年に、クールーで死んだ叔母 の葬儀に出席した2名の兄弟がいるが、かれらはその30年後にいずれもクールーで 死亡した。調べてみると、この葬儀に出席した16人のうち12名がクールーで死亡 していた。1950年の葬儀に出席した人の間でも大きな発生が起こり、出席した6 0名のうちすくなくとも53名が死亡した。
クールーは死者の脳のようにプリオンが多く含まれる組織を食べたことのほかに、 調理の最中に傷口などからプリオンが感染したことが原因と考えられている。そのた め女性に多く起こり、発生のピークとなった1960年代には、女性の最大の死亡の 原因となり全部で2千人以上が死亡した。
食人の風習は1950年代終わりにオーストラリア政府が高地に出張所をもうけた のをきっかけに、かなり急速になくなりクールーの発生も終息していった。しかし、 現在でも食人の習慣が存在した時期より前に生まれた人の間で患者が毎年数人出てい る。潜伏期は40年を越すことになる。
ハイテクノロジーによる共食い:医原性CJD
米国のガイドユセックは最初にクールー、ついでCJDが感染性の病気であることを チンパンジーへの伝達実験で証明し、人の伝達性海綿状脳症の概念を確立して197 6年にはノーベル賞を受賞した。この研究成果がきっかけで医療行為によるCJD感染 の例が明らかになってきた。これら医原性CJDをガイドユセックはハイテクノロジー による共食いと呼んだ。現代社会におけるクールーとみなしたわけである。
1974年にニューヨークで55才の女性がCJDで死亡した。彼女は18カ月前に 角膜移植を受けており、調べてみると角膜のドナーはCJDで死亡した患者であった。 医療行為でCJDが感染したことが確認された最初の例である。1977年にはスイス のチューリッヒで23才と17才の若いてんかんの患者があいついでCJDで死亡した 。彼らは脳内に銀製の電極を脳内に挿入する検査を16カ月前と20カ月前に受けて いた。調べてみるとこの電極は以前にCJD患者に用いられたことがあり、これから感 染したものと判断された。この電極は普通に行われているアルコールとホルマリン蒸 気で消毒されていたが、それではプリオンは不活化されなかったのである。
1984年には低身長の治療用に成長ホルモンの接種を受けていた21才のカリフ ォルニアの青年がCJDで死亡した。翌年には英国で22才の女性が同じくCJDで死亡し た。本来50才以上の人に起こるCJDが若い人に起きたことから、成長ホルモンが原 因であると結論された。これは死者の脳下垂体から抽出しており、その中にCJD患者 の脳下垂体が含まれていたためである。これまでに全世界で成長ホルモンの関与が疑 われるCJDで約100人が死亡している。
1987年には米国で脳の硬膜移植によるCJD患者が報告された。28才の女性で 内耳の手術後19カ月後に発病した。日本では1985年から1998年までに見い だされたCJD患者約900人のうち60名が硬膜移植の経験があり、硬膜からの感染 が疑われている。
近代畜産が生み出した強制的共食い:狂牛病
英国では人口5千万人に対してヒツジは4千万頭飼われており、世界に誇るウール 製品をささえている。良質の羊毛を得るための羊の改良は18世紀にスペインからメ リノ種の羊が輸入された時に始まった。そして、近親交配すなわち父親と娘、息子と 母親という交配が続けられた。たまたま選抜の対象となった高品質の羊はスクレイピ ー感受性も高かった。この近親交配がスクレイピーの拡大につながった可能性が高い といわれている。英国全土に広がったスクレイピーは制圧が不能となり、1980年 代には数千から1万頭くらいの年間発生率と推定される。このスクレイピーがたまた ま家畜の餌に混入して、それを食べた牛がスクレイピーに感染し、BSEになった。
牛、羊、豚、ニワトリなど食用動物の死体から食肉を採取した残りのくず肉は調理 されて脂肪製品と肉骨粉が作られる。この操作はレンダリングと呼ばれる。脂肪は中 世には石鹸やローソクの原料として、第2次大戦中は爆薬のニトログリセリンの原料 としても多量に利用された。現在では医薬品や化粧品などに広く用いられている。脂 肪をとった後の脂かすはかっては捨てられていたが、この栄養価が注目され、これを 乾燥して粉末とした肉骨粉が作られるようになったのは20世紀に入ってからである 。肉骨粉は家畜やペットの飼料、肥料などに用いられている。レンダリング産業は目 に見えない産業と呼ばれているが、たとえばヨーロッパ連合ではBSEが発生した19 80年代半ばには年間250万トンの餌と100万トンの脂肪製品を生産していた大 きな産業である。
1960年代になりレンダリング技術の近代化がはじめられ、ちょうど1970年 代半ばのオイルショックをきっかけに省力化をかねたコンピューター制御の新しい方 式が広く採用された。この製造工程の近代化は加熱条件の緩和にもつながり、これが 肉骨粉のスクレイピー汚染の原因になり、餌を介して牛にスクレイピーが広がったと 推定されている。
レンダリングでは当然、BSE牛のくず肉も用いられる。それが牛の餌となったため 、羊から牛へと種の壁を越えたプリオンは牛で容易に広がるようになったのである。 これまでに17万頭あまりの発病が確認され、実際の発病数は100万頭と推定され ている。草食動物である牛への強制的共食いがBSEの原因であり、BSEは人間が作りだ した病気ということになる。食肉のために家畜を生産し、そのくず肉は餌としてふた たび家畜に与えられる近代的畜産形態としてのリサイクリングから生まれた病気なの である。
餌からの感染は牛にとどまらなかった。ロンドンの動物園ではウシ科の数種の野生 動物が餌からBSEに感染した。英国の家猫もキャットフードからこれまでに77頭が 感染した。
BSEの原因になった餌は日本や米国でも用いられていた。幸いBSEは発生しなかった が、これはプリオンの量が発病を起こすレベル以下であったためと推測されている。
人間が作りだした人のプリオン病:新型CJD
BSEの発生の原因となった餌の使用が1988年に禁止されたことから1993年 をピークに発生は減少しはじめ、21世紀はじめにほぼ終息するものと推測されてい る。牛の問題は今度は人間に移ってきた。
1995年から英国では、これまでのCJDとは異なるタイプの新型CJDが出現し現在 27名が確認されている。(現在は32名です)。これがBSEの感染によるという科 学的証拠も蓄積してきた。リサイクリングの末端に人間がつながったのである。英国 では約70万頭のBSE牛が人の食用に供されたと推定されており、今後どの程度の患 者が発生するかは、まったく不明である。クールーでは40年以上の潜伏期での発病 もある。
最近、新型CJDを発病する半年以上前にすでにプリオンがリンパ組織に存在してい ることが明らかになり、一見健康な人からの血液中の白血球にもプリオンが含まれて いる可能性が問題になってきた。人間が牛に作り出したプリオン病が今度は人間に脅 威を与えているのである。
おわりに
プリオン病が提起している問題は文明が生み出したものといえる。それに対する現 実的解決は科学者に課せられた重要な研究課題である。公衆衛生の立場ではプリオン を短時間に高感度で検出する方法の開発が緊急の課題となっている。これにより潜伏 期の患者も含めて急速に診断することが可能となり、また血液、医薬品、食品などの プリオン汚染の検出対策が可能となる。効果的な不活化方法の開発は医療器具などを 介する医原性CJDの予防のためのきわめて現実的な問題である。しかし、プリオンの 完全な不活化はおそらく不可能であるため、放射能などの場合と同様に安全限界を知 ることが必要である。それには発病機構の解明と発病に必要なプリオン量を知ること が必要である。発病したら確実に死亡するプリオン病の治療法の開発もまた緊急の課 題である。
19世紀終わりに細菌学の時代が始まり、ちょうど100年前にはウイルスが初め て分離された。20世紀はまさにウイルス学の世紀でもあった。1997年度ノーベ ル賞が与えられたプルシナーのプリオン説により理論的枠組みが固められたプリオン 病は、21世紀の重要な研究領域になるであろう。
コロナワクチンの開発にヒトの胎児細胞が使われる理由
ナショナル ジオグラフィック
2021年12月13日 5:00
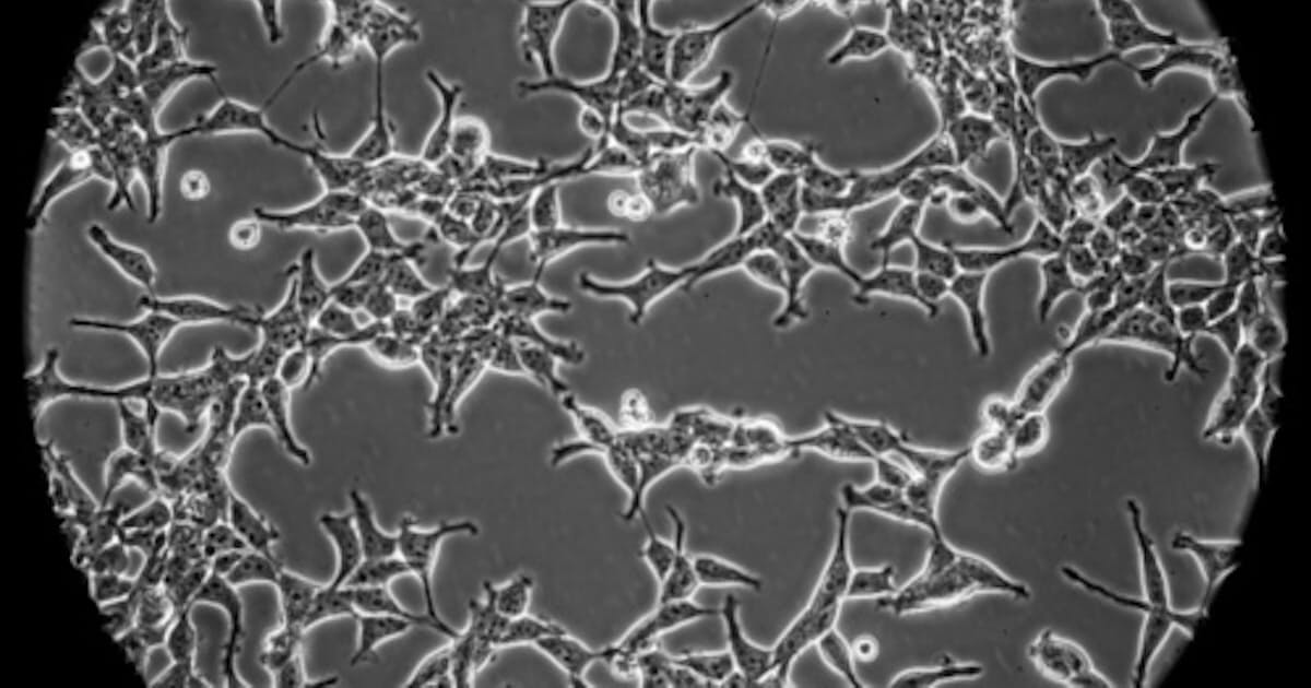
培養中のヒト胎児腎細胞293(HEK-293細胞)。複数のクラスターが写っている。胎児細胞株は生物医学研究や医薬品開発の標準的なツールとなっている。(IMAGE BY GERMAN101, GETTY)
新型コロナウイルスワクチン接種が一部の企業などで義務化された米国では、宗教上の理由による接種義務の免除を申請する消防士や警察官などが相次ぎ、議論が巻き起こっている。大企業や一部の医療機関では2022年1月4日が接種期限とされているため、これから申請者が急増しそうだ。
人々が宗教上の理由としてよく挙げる要因が、ワクチンとヒト胎児に由来する細胞との関連だ。
新型コロナワクチンの試験や開発・製造にヒトの胎児細胞が使われているのは事実だ。これらの細胞は30年以上前に行われた数件の選択的中絶から得られたもので、以来、実験室で培養されている。同じ細胞株は、私たちが日常的に使っているアセトアミノフェン、イブプロフェン、アスピリンなどの医薬品の試験や研究のほか、アルツハイマー病や高血圧症の治療の研究にも使用されている。
「私たちの命を救ってくれる医薬品やワクチンを開発するために胎児細胞株がどれほど重要な役割を果たしているのか、多くの人は知りません」と米ジョンズ・ホプキンス大学健康安全保障センターの感染症専門医アメッシュ・アダルジャ氏は話す。「新型コロナワクチンの開発に使用されているのは特別なことではありません」
宗教指導者の中には、科学的根拠に基づいて提言を行う人々もいる。米カトリック司教協議会が2020年12月に発表した声明では、ヒト胎児細胞株は間接的に人工妊娠中絶と関係があり、道徳的に問題があるとしている。その一方で、コロナ禍という深刻な健康危機においては、代替手段のない場合のワクチンの使用は、博愛と道徳的責任に基づく行為として正当化されるというバチカンのメッセージが繰り返されている。
宗教的な理由に基づく新型コロナワクチン接種義務の免除がこれまでに何件認められたかは不明だが、申請者は「信仰に偽りのないこと」を証明する必要がある。場合によっては、日常的な医薬品でも胎児細胞を使って開発されたものは利用していないことの証明が求められる。
医師たちは、一部の人々が新型コロナワクチンに反対するのは、科学に対する誤解があるからではないかと考えている。米ピッツバーグ大学医学部の家庭医学専門医で、米イーストリバティー家庭医療センターの非常勤医師でもあるリチャード・ジマーマン氏によると、患者の中には新型コロナワクチンには中絶された胎児の細胞が含まれていると信じ、ワクチンに懐疑的な意見を述べる人もいたという。もちろん、これは間違いだ。
以下では、胎児細胞は医薬品開発にどのように使用されているのか、胎児細胞はどこから来たのか、そして、なぜ代替品を見つけるのが難しいのかについて説明する。
胎児細胞が医薬品開発に必要な理由
ウイルスは細菌と異なり、感染した宿主細胞の中でしか成長・増殖できない。ワクチンは通常、弱毒化や不活化したウイルス、あるいはウイルスの重要なパーツや遺伝子を少量投与することで、病気を引き起こすことなく宿主の体に病原体を予習させている。こうすることで、免疫系は特定のウイルスについて記憶し、将来同じウイルスに遭遇したときにどのように破壊するかを覚えておくことができる。
したがって、製薬会社がワクチンを大量生産するには、ウイルスの成分を大量に作る方法が必要だ。
例えば、毎年製造されるインフルエンザワクチンは、ニワトリの受精卵を宿主としてインフルエンザウイルスを増殖させている。しかしワクチンメーカーは、ウイルスを哺乳類の細胞で培養することを好んでいる。主な理由は、ウイルスの突然変異を防ぎ、大規模生産がしやすいからだ。
製造には当初、ヒト以外の動物の細胞が使われていた。だが後になって、動物の細胞には他の好ましくない動物ウイルスが付着している可能性があり、ワクチンが汚染されるおそれがあることがわかった。例えば、1955〜1963年に大規模に接種された初期のポリオワクチンはサルの細胞を使って製造されていたが、後にSV40というサルウイルスが混入していたことが判明している。
もう一つの問題点は、ヒトウイルスの中には、ヒト以外の動物細胞中では増殖しないものがあったことだ。そこで科学者たちは、ヒトの胎児細胞を使ってワクチン用のウイルスを作ることにした。
成人の細胞とは違い、「胎児細胞は好ましくないウイルスによる汚染がまれであることが知られていました」と米カリフォルニア大学サンフランシスコ校の細胞生物学者レオナルド・ヘイフリック氏は言う。氏は、1960年代初頭にスウェーデンで行われた選択的中絶に由来する胎児の遺体から「WI-38」と呼ばれる最古の胎児細胞株を作製した。
だがその後、ヒト以外の動物細胞の中にも、ある種のウイルスに対するワクチンの開発で安全に使えるものがあることがわかってきた。例えば、アフリカミドリザル腎細胞は、ポリオや天然痘を含むいくつかのワクチンの開発に使用されている。
ただし、特に新しい種類のヒトウイルスについては「ヒト細胞株のほうが好まれています」とスウェーデン、カロリンスカ研究所のバイオマテリアル研究者アレッソンドラ・シュパイデル氏は説明する。動物よりヒト由来の細胞のほうが感染・増殖がうまくいく可能性が高いからではないかという。
胎児細胞はどこから来るのか?
胎児細胞株を作るには、死亡した胎児から採取した小さな組織片から、多数の細胞を分離しなければならない。個々の細胞は50回近く分裂できる(細胞の分裂回数の限界は「ヘイフリック限界」と呼ばれる)。これらの細胞は冷凍保存が可能で、場合によっては不死にもできる。そのため、何十年も前に採取された組織に由来する細胞が現在も使用されているのだ。
例えばヘイフリック氏は、ヒト胎児肺細胞が1000万個ずつ入った700本のガラス瓶を冷凍保存した。これらの細胞はたった1人の中絶胎児に由来し、もとの細胞集団を7回分裂させた時点で冷凍しているため、少なくともあと30回は分裂することができる。つまり、1本のガラス瓶から「数十トンの細胞」が得られることになると氏は言う。「世界中のワクチンメーカーに数年間にわたってWI-38細胞を供給できる量です」
現在、WI-38細胞は、水痘(みずぼうそう)、風疹、A型肝炎、狂犬病のワクチンの製造に使われている。胎児の腎臓や網膜の細胞を不死化し、永遠に分裂しつづけるようにした研究者もいる。例えば「PER.C6」細胞株は、1985年に中絶された妊娠18週の胎児の網膜細胞を不死化したものだ。
米ジョンソン・エンド・ジョンソン(J&J)は、PER.C6を用いて新型コロナワクチンを製造している。同社は、この細胞を使ってアデノウイルス(複製や病気を引き起こす能力をもたないように改変してある)を増殖させ、それを精製して、新型コロナウイルスがもつ特徴的なスパイクたんぱく質の遺伝子の運び役にしている。アデノウイルスが宿主にしていた胎児細胞は抽出・ろ過されているため、J&J社のワクチンには一切含まれていない。
米ファイザーと米モデルナは、1970年代に中絶された胎児の腎臓に由来する「HEK-293」という不死化細胞株を利用した。ワクチンの開発段階で、新型コロナウイルスのスパイクたんぱく質を作らせる遺伝的指令がヒトの細胞で機能することを確認するために用いられた。つまり、胎児細胞はPoC(概念実証)試験に用いられただけなので、両社のmRNAワクチンの製造には使われていないとシュパイデル氏は説明する。
「問題は、命を救う医薬品やワクチンや治療法を開発するのに、半世紀前に中絶されたヒトの胎児に由来する細胞株を利用したり、そうした治療法を用いたりすることが倫理的に許容されると信じるかどうかなのです」とカナダ、マクマスター大学の名誉教授で、分子ウイルス学と医学の専門家であるフランク・グラハム氏は言う。氏はHEK-293細胞株を生み出した人物だ。
たとえ将来のワクチンが、こうした胎児細胞株を使用せずに製造できるようになったとしても、その基礎的な役割を無視することはできない。同じことは、糖尿病や高血圧といった一般的な病気についても言える。これらの病気の研究や治療法の開発にも、胎児細胞は広く使用されている。
ジマーマン氏が担当した、ワクチン接種をためらっていた患者の何人かの心を動かしたのは、科学ではなく、「あなたの大切な人のために」という利他的なメッセージだった。「自分が原因で大切な人を感染させてしまうことは、誰も望んでいないのです」と氏は話す。
文=PRIYANKA RUNWAL/訳=三枝小夜子(ナショナル ジオグラフィック日本版サイトで2021年11月27日公開)
ブラジルの狂牛病に似た症例、牛肉摂取と関連せず、ワクチンが原因の可能性
2021年11月16日(火) by: ラモン・トミー
ブラジルでは最近、狂牛病に似た神経変性疾患の患者が発生しましたが、当局は、これらの患者が牛肉の摂取とは無関係であることを明らかにしました。
11月11日、ブラジル農畜産物・食品供給省(MAPA)は、リオデジャネイロでクロイツフェルト・ヤコブ病(CJD)の疑いがある2例を確認しました。同省は、両症例とも「『狂牛病』として知られる牛海綿状脳炎に汚染された牛肉や副産物の摂取とは関係がない」と発表しています。
MAPAの確認に先立ち、リオデジャネイロの保健当局は、Fiocruz公衆衛生研究所がすでに “プリオン病 “の2例のフラグを立てていたと述べた。さらに、同市近郊で発見された2例はすでに州の保健当局に照会したという。
CJDは、人間のプリオン病の中で最も一般的なもので、高齢の患者に自然に発症する。若い患者でも、汚染された牛肉を食べたり、汚染された家畜の飼料に触れたりすることでCJDを発症することがある。
9月に入り、同国では動物のいわゆる「非定型」狂牛病が2例確認された。MAPAは当時、これらの症例は自然に発生したものであり、いずれも汚染された家畜の飼料とは無関係であると述べていました。9月4日、MAPAは、これらの症例がマットグロッソ州とミナスジェライス州の食肉工場から発生したことを確認しました。
このCJD患者をきっかけに、中国はブラジルからの牛肉輸入を禁止し、南米諸国に影響を及ぼした。ブラジルの牛肉輸出業者の多くは、この動きに不満を表明している。匿名を条件にロイターの取材に応じたある輸出業者は、禁止される前に認証を受けられると期待して、中国にコンテナ22個を送ったと語った。
Brighteon.TV
“私の出荷品のいくつかは8月に生産され、禁輸前に認証されたが、9月4日以降に出発した。到着したとき、輸入業者は通関できないと言った」と輸出業者は述べた。
COVID-19ワクチンがプリオン病の引き金になった可能性
リオデジャネイロの2人の住民で報告されたCJDの症例は、武漢コロナウイルス(COVID-19)ワクチンが原因であった可能性がある。COVID-19ワクチン・トラッカーによると、ブラジルはファイザー、アストラゼネカ、ガマレヤ、ヤンセン、インド血清研究所、シノバック、シノファームの7社のワクチンを承認しています。(関連記事 コビドワクチンが狂牛病と同様のプリオン連鎖性脳変性を誘発する可能性?)
米国疾病対策センター(CDC)は、CJDが「急速に進行し、常に致死的である」と指摘しています。さらに、「感染すると…通常、発症から1年以内に死に至る」とも述べている。
この主張を裏付けるかのように、物理学者で核心臓学者のリチャード・フレミング博士の暴露があった。彼は、昨年4月にスティーブ・バノンのポッドキャスト「ウォー・ルーム」に出演した際、COVID-19ワクチンが狂牛病を誘発する可能性があると警告した。
「私は反ワクチンではなく、反悪薬なのです。動物モデルでは、海綿状脳炎や狂牛病を発症しています。また、その2週間後には、アルツハイマー病や神経障害を引き起こすものが発症することもわかっている」とフレミング氏は述べた。さらに、COVID-19ワクチンの神経への影響は、ヒトに現れるまでに1年半かかると続けた。
フレミング氏によれば、COVID-19の注射には “統計的に有意な効果はない “という。それどころか、”炎症、血液凝固、狂牛病、認知症につながるレビー小体の形成 “を引き起こすのです。(関連記事 実験的なCovid-19「ワクチン」は狂牛病を引き起こす可能性があると、専門家は警告している)。
このため、フレミングはバノンに、ジョー・バイデン大統領とその政権は、COVID-19ワクチンが “何らかの有効性が実証されているかどうか “を調査するべきだと話した。彼はこう続けた。”この国ですでに相当数の人にワクチンを接種したことの潜在的な結果はどうなるのでしょうか?”
VaccineDamage.newsには、COVID-19ワクチンがCJDや他のプリオン障害を誘発する可能性についての記事がもっとあります。






コメント